WikiJournal of Medicine/Leptospirosis
WikiJournal of Medicine
Open access • Publication charge free • Public peer review • Wikipedia-integrated
This article has been through public peer review.
It was adapted from the Wikipedia page Leptospirosis and contains some or all of that page's content licensed under a CC BY-SA license. Post-publication review comments or direct edits can be left at the version as it appears on Wikipedia.
First submitted:
Accepted:
PDF: Download
DOI: 10.15347/WJM/2022.002
QID: Q100400590
XML: Download
Share article
Email
|
Facebook
|
Twitter
|
LinkedIn
|
Mendeley
|
ResearchGate
Suggested citation format:
Siang Ching Raymond Chieng (21 June 2022). "Leptospirosis". WikiJournal of Medicine 9 (1): 2. doi:10.15347/WJM/2022.002. Wikidata Q100400590. ISSN 2002-4436.
Citation metrics
AltMetrics
Page views on Wikipedia
Wikipedia: This work is adapted from the Wikipedia article Leptospirosis (CC BY-SA). Content has also subsequently been used to update that same Wikipedia article Leptospirosis.
License:
This is an open access article distributed under the Creative Commons Attribution ShareAlike License, which permits unrestricted use, distribution, and reproduction, provided the original author and source are credited.
Mossab Banat
(handling editor) contact
Roger Watson
contact
Sivakumar Rathinam
Article information
Abstract
Introduction
Leptospirosis is a blood infection caused by the bacterium Leptospira.[1] Signs and symptoms can range from none to mild (headaches, muscle pains, and fevers) to severe (bleeding in the lungs or meningitis).[2] Weil's disease, the acute, severe form of leptospirosis, causes the infected individual to become jaundiced (skin and eyes become yellow), develop kidney failure, and bleed.[3] Pulmonary hemorrhage in association with leptospirosis is known as "severe pulmonary haemorrhage syndrome".[2]
More than ten genetic types of Leptospira, which are a type of a spirochaete, cause disease in humans.[4] Both wild and domestic animals can spread the disease, most commonly rodents. The bacteria are spread to humans through animal urine, or water and soil contaminated with animal urine, coming into contact with the eyes, mouth, nose or breaks in the skin.[1] In developing countries, the disease occurs most commonly in farmers and low-income people who live in areas with poor sanitation. In developed countries, it occurs during heavy downpours and can affect those involved in outdoor activities in warm and wet areas. Diagnosis is typically by testing for antibodies against the bacteria or finding bacterial DNA in the blood.[2]
Efforts to prevent the disease include protective equipment to block contact when working with potentially infected animals, washing after contact, and reducing rodents in areas where people live and work. The antibiotic doxycycline is effective in preventing leptospirosis infection.[5] Human vaccines are of limited usefulness;[6] vaccines for other animals are more widely available.[7] Treatment when infected is with antibiotics such as doxycycline, penicillin, or ceftriaxone.[1] The overall risk of death is 5–10%.[8] However, when the lungs are involved, the risk of death increases to the range of 50–70%.[1]
It is estimated that one million people worldwide are infected by leptospirosis every year, causing approximately 58,900 deaths.[5][9] The disease is most common in tropical areas of the world but may occur anywhere.[5] Outbreaks may arise after heavy rainfall.[5] The disease was first described by physician Adolf Weil in 1886 in Germany.[10][11] Infected animals may have no, mild or severe symptoms.[12] These may vary by the type of animal.[7][12] In some animals Leptospira live in the reproductive tract, leading to transmission during mating.[7]
Signs and symptoms
Cerevisae, CC BY-SA
Daniel Ostermayer, CC-BY
The symptoms of leptospirosis appear 1 to 2 weeks after infection[5] but may appear only after 29 days.[13] As a biphasic disease, the first phase (acute or septic phase) ends after 3 to 7 days of illness. The second phase (immune phase) starts with the resolution of symptoms and the appearance of antibodies.[1] Of those infected 90% experience mild symptoms while 10% experience severe leptospirosis.[14]
Leptospiral infection in humans causes a range of symptoms, though some infected persons may have none. The disease begins suddenly with fever accompanied by chills, intense headache, severe muscle aches and abdominal pain.[2][13] A headache brought on by leptospirosis causes throbbing pain and is characteristically located at the head's bilateral temporal or frontal regions. The person could also have pain behind the eyes and a sensitivity to light. Muscle pain usually involves the calf muscle and the lower back. The most characteristic feature of leptospirosis is the conjunctival suffusion (conjunctivitis without exudate) which is rarely found in other febrile illnesses. Other characteristic findings on the eye include subconjunctival bleeding and jaundice. A rash is rarely found in leptospirosis. When one is found alternative diagnoses such as dengue fever and chikungunya fever should be considered. Dry cough is observed in 20–57% of people with leptospirosis. Thus, this clinical feature can mislead a physician to diagnose the disease as a respiratory illness. Additionally, gastrointestinal symptoms such as nausea, vomiting, abdominal pain, and diarrhea frequently occurs. Vomiting and diarrhea may contribute to dehydration. The abdominal pain can be due to acalculous cholecystitis or inflammation of the pancreas.[13] Rarely, the lymph nodes, liver, and spleen may be enlarged and palpable.[1]
There will be a resolution of symptoms for 1 to 3 days.[5] The immune phase starts after this and can last from 4 to 30 days and can be anything from brain to kidney complications.[15] The hallmark of the second phase is inflammation of the membranes covering the brain. Signs and symptoms of meningitis include severe headache and neck stiffness. Kidney involvement is associated with reduced or absent urine output.[5]
The classic form of severe leptospirosis, known as Weil's disease, is characterized by liver damage (causing jaundice), kidney failure, and bleeding, which happens in 5–10% of those infected;[5] lung and brain damage can also occur. For those with signs of inflammation of membranes covering the brain and the brain itself, altered level of consciousness can happen. A variety of neurological problems such as paralysis of half of the body, complete inflammation of a whole horizontal section of spinal cord, and muscle weakness due to immune damage of the nerves supplying the muscles are the complications. Signs of bleeding such as non-traumatic bruises at 1 mm (0.039 in), non-traumatic bruises more than 1 cm (0.39 in), nose bleeding, blackish stools due to bleeding in the stomach, vomiting blood and bleeding from the lungs can also be found. Prolongation of prothrombin time in coagulation testing is associated with severe bleeding manifestation. However, low platelet count is not associated with severe bleeding. Pulmonary haemorrhage is alveolar haemorrhage (bleeding into the alveoli of the lungs) leading to massive coughing up of blood, and causing acute respiratory distress syndrome, where the risk of death is more than 50%.[13] Rarely, inflammation of the heart muscles, inflammation of membranes covering the heart, abnormalities in the heart's natural pacemaker and abnormal heart rhythms may occur.[1]
Cause
Bacteria
Rob Weyant (CDC), Public Domain
Leptospirosis is caused by a spirochete bacterium that belongs to the genus Leptospira, which are aerobic,[1] right-handed helical,[4] and 6 to 20 micrometers long.[5] Like Gram-negative bacteria, Leptospira have an outer membrane studded with lipopolysaccharide (LPS) on the surface, an inner membrane and a layer of peptidoglycan cell wall. However, unlike Gram-negative bacteria, the peptidoglycan layer in Leptospira lies closer to the inner than the outer membrane. This results in a fluid outer membrane loosely associated with the cell wall.[16] In addition, Leptospira have a flagellum located in the periplasm, associated with corkscrew style movement.[5] Chemoreceptors at the poles of the bacterium sense various substrates and change the direction of its movement.[4] The bacteria are traditionally visualised using dark-field microscopy without staining.[5]
A total of 66 species of Leptospira has been identified. Based on their genomic sequence, they are divided into two clades and four subclades: P1, P2, S1, and S2. The 19 members of the P1 subclade include the 8 species that can cause severe disease in humans: L. alexanderi, L. borgpetersenii, L. interrogans, L. kirschneri, L. mayottensis, L. noguchii, L. santarosai, and L. weilii[4][17] The P2 clade comprises 21 species that may cause mild disease in humans. The remaining 26 species comprise the S1 and S2 subclades, which include "saprophytes" known to consume decaying matter (saprotrophic nutrition).[17] Pathogenic Leptospira do not multiply in the environment. Leptospira require high humidity for survival but can remain alive in environments such as stagnant water or contaminated soil. The bacterium can be killed by temperatures of 50 °C (122 °F) and can be inactivated by 70% ethanol, 1% sodium hypochlorite, formaldehyde, detergents and acids.[18]
Leptospira are also classified based on their serovar. The diverse sugar composition of the lipopolysaccharide on the surface of the spirochete is responsible for the antigenic difference between serovars. About 300 pathogenic serovars of Leptospira are recognised. Antigenically related serovars (belonging to the same serogroup) may belong to different species because of horizontal gene transfer of LPS biosynthetic genes between different species. Currently, the cross agglutination absorption test and DNA-DNA hybridisation are used to classify Leptospira species, but are time consuming. Therefore, total genomic sequencing could potentially replace these two methods as the new gold standard of classifying Leptospira species.[4]
Transmission
Evi Susanti Sinaga (CDC), Public Domain
The bacterium can be found in ponds, rivers, puddles, sewers, agricultural fields and moist soil.[5] Pathogenic Leptospira have been found in the form of aquatic biofilms, which may aid survival in the environment.[19]
The number of cases of leptospirosis is directly related to the amount of rainfall, making the disease seasonal in temperate climates and year-round in tropical climates.[5] The risk of contracting leptospirosis depends upon the risk of disease carriage in the community and the frequency of exposure.[13] In rural areas, farming and animal husbandry are the major risk factors for contracting leptospirosis.[2] Poor housing and inadequate sanitation also increase the risk of infection.[13] In tropical and semi-tropical areas, the disease often becomes widespread after heavy rains or after flooding.[5]
Leptospira is found mostly in mammals.[2] However, reptiles and cold-blooded animals such as frogs, snakes, turtles, and toads have been shown to have the infection. Their role in causing diseases in humans and mammals is understudied. Rats, mice, and moles are important primary hosts, but other mammals including dogs, deer, rabbits, hedgehogs, cows, sheep, swine, raccoons, opossums, and skunks can also carry the disease.[7] In Africa, a number of wildlife hosts have been identified as carriers, including the banded mongoose, Egyptian fox, Rusa deer, and shrews.[20] There are various mechanisms whereby animals can infect each other. Dogs may lick the urine of an infected animal off the grass or soil, or drink from an infected puddle. House-bound domestic dogs have contracted leptospirosis, apparently from licking the urine of infected mice in the house.[21] Leptospirosis can also be transmitted via the semen of infected animals. The duration of bacteria being consistently present in animal urine may persist for years.[7]
Humans become infected through contact with water or moist soil that contains urine from infected animals.[5] The bacteria enter through cuts, abrasions,[5] ingestion of contaminated food, or contact with mucous membrane of the body (e.g. mouth, nose, and eyes).[22] Occupations at risk of contracting leptospirosis include farmers, fishermen, garbage collectors and sewage workers. The disease is also related to adventure tourism and recreational activities. It is common among water-sports enthusiasts in specific areas, including triathlons, water rafting, canoeing and swimming, as prolonged immersion in water promotes the entry of the bacterium, [2] However, Leptospira is unlikely to penetrate intact skin.[1] The disease is not known to spread between humans, and bacterial dissemination in recovery period is extremely rare in humans.[1] Once humans are infected, bacterial shedding from the kidneys usually persists for up to 60 days.[18]
Rarely, leptospirosis can be transmitted through an organ transplant.[23] Infection through the placenta during pregnancy is also possible.[24][25][26] It can cause miscarriage and infection in infants.[27]
Pathogenesis
Cerevisae, CC-BY-SA
The pathogenesis of leptospirosis remains poorly understood.[5][22] When animals ingest the bacteria, they circulate in the bloodstream, then lodge themselves into the kidneys through the glomerulular or peritubular capillaries. The bacteria then pass into the lumens of the renal tubules and colonise the brush border and proximal convoluted tubule. This causes the continuous shedding of bacteria in the urine without the animal experiencing significant ill effects. This relationship between the animal and the bacteria is known as a commensal relationship, and the animal is known as a reservoir host.[13]
Humans are the accidental host of Leptospira.[2] The bacteria enter the human body through breaches in the skin or through the mucous membrane, then into the bloodstream. The bacteria later attach to the endothelial cells of the blood vessels and extracellular matrix (complex network of proteins and carbohydrates that present between the cells). The flagella of the bacteria help them move between cell layers. Leptospira bind to many cells such as fibroblasts, macrophages, endothelial cells, and kidney epithelial cells. Additionally, surface leptospiral immunoglobulin-like (Lig) proteins such as LigB, whose gene is found in all pathogenic species, help Leptospira to bind to several human proteins such as complement proteins, thrombin, fibrinogen, and plasminogen. Other bacterial surface proteins that help it to bind to human proteins are LipL32 and Len A.[4][22] In additoin, a human protein known as VE-cadherin also facilitates the Leptospira interrogans attachment to the host cells.[28]
Through innate immune system, endothelial cells of the capillaries in the human body are activated by the presence of these bacteria. The endothelial cells produce cytokines and antimicrobial peptides against the bacteria. These products regulate the coagulation cascade and movements of white blood cells. Macrophages presented in humans are able to engulf Leptospira. However, Leptospira are able to reside and proliferate in the cytoplasmic matrix after being ingested by human macrophages, which later results in their death.[4] Those with severe leptospirosis can experience a high level of cytokines such as interleukin 6, tumor necrosis factor alpha (TNF-α), and interleukin 10. The high level of cytokines causes sepsis-like symptoms which is life-threatening instead of helping to fight against the infection.[14] Those who have a high risk of sepsis during a leptospirosis infection are found to have the HLA-DQ6 genotype, possibly due to superantigen activation, which damages bodily organs.[13]
Humoral immunity is the main immune response against the Leptospira cells. Agglutinating antibodies such as immunoglobulin M and immunoglobulin G are produced against the bacteria. Such antibodies are mainly directed against the LPS.[22] Leptospira LPS only activates toll-like receptor 2 (TLR2) in monocytes in humans. The lipid A molecule of the bacteria is not recognised by human TLR4 receptors. Therefore, the lack of Leptospira recognition by TLR4 receptors probably contributes to the leptospirosis disease process in humans.[4]
Although there are various mechanisms in the human body to fight against the bacteria, Leptospira is well adapted to such an inflammatory condition created by it. In the bloodstream, it can activate host plasminogen to become plasmin that breaks down extracellular matrix, degrades fibrin clots and complemental proteins (C3b and C5) to avoid opsonisation. It can also recruit complement regulators such as factor H, C4b-binding protein, factor H-like binding protein, and vitronectin to prevent the activation of membrane attack complex on its surface. It also secretes proteases to degrade complement proteins such as C3. It can bind to thrombin that decreases the fibrin formation. Reduced fibrin formation increases the risk of bleeding.[4] Leptospira also secretes sphingomyelinase and haemolysin that target red blood cells.[5]
Leptospira spreads rapidly to all organs through the bloodstream. They are subsequently cleared from the human body except in the kidneys where they persist.[4] They mainly affect the liver. They invade spaces between hepatocytes, causing apoptosis. The damaged hepatocytes and hepatocyte intercellular junctions cause leakage of bile into the bloodstream, causing elevated levels of bilirubin, resulting in jaundice. Congested liver sinusoids and perisinusoidal spaces have been reported. Meanwhile, in the lungs, petechiae or frank bleeding can be found at the alveolar septum and spaces between alveoli.[13] Leptospira secretes toxins that cause mild to severe kidney failure or interstitial nephritis.[22] The kidney failure can recover completely or lead to atrophy and fibrosis.[13] Rarely, inflammation of the heart muscles, coronary arteries, and aorta are found.[15]
Diagnosis
Dr. Martin Hicklin (CDC), Public Domain
Nuwan Ranawaka, CC-BY
Biochemical tests
For those who are infected, a complete blood count may show a high white cell count and a low platelet count. When a low hemoglobin count is present together with a low white cell count and thrombocytopenia, bone marrow suppression should be considered.[13] Erythrocyte sedimentation rate and C-reactive protein may also be elevated.[1]
The kidneys are commonly involved in leptospirosis. Blood urea and creatinine levels will be elevated. Leptospirosis increases potassium excretion in urine, which leads to a low potassium level[13] and a low sodium level in the blood.[1][13] Urinalysis may reveal the presence of protein, white blood cells, and microscopic haematuria. The bacteria only move into kidneys after 10 days of infection. Therefore, a urine culture will only remain positive for leptospirosis from 10 days until 30 days of infection.[1]
For those with liver involvement, transaminases and direct bilirubin are elevated in liver function tests. The Leptospira Icterohaemorrhagiae serogroup is most commonly associated with jaundice and elevated bilirubin levels. In those with glucose-6-phosphate dehydrogenase deficiency, leptospirosis can contribute to acute hemolytic anaemia and conjugated hyperbilirubinemia. Abnormal serum amylase and lipase levels (associated with pancreatitis) are found in those who are admitted to hospital due to leptospirosis. Impaired kidney function with creatinine clearance less than 50 ml/min is associated with elevated pancreatic enzymes.[13]
For those with severe headache who show signs of meningitis, a lumbar puncture can be attempted. If infected, cerebrospinal fluid (CSF) examination shows lymphocytic predominance with a cell count of about 500/mm3, protein between 50 and 100 mg/ml and normal glucose levels. These findings are consistent with aseptic meningitis.[13]
Serological tests
Rapid detection of Leptospira can be done by quantifying the IgM antibodies using ELISA. Typically, isolates of L. biflexa antigen are used to detect the IgM antibodies. This test can quickly determine the diagnosis and help in early treatment. However, the test specificity depends upon the type of antigen used and the presence of antibodies from previous infections. The presence of other diseases such as Epstein-Barr virus infection, viral hepatitis, and cytomegalovirus infection can cause false-positive results.[13] Other rapid screening tests have been developed such as dipsticks, latex and slide agglutination tests.[1]
The microscopic agglutination test (MAT) is the reference test for the diagnosis of leptospirosis. MAT is a test where human or animal serum is mixed with various types of Leptospira antigens serovars. The mixture is then examined under a microscope to look for agglutination. The MAT is then read by dark field microscopy. The highest dilution where 50%, agglutination occurs is the result.[13] MAT titres of 1:100 to 1:800 are diagnostic of leptospirosis.[1] A fourfold or greater rise in titre of two sera taken at onset of symptoms and 3 to 10 days of disease onset confirms the diagnosis. During the acute phase of the disease, MAT is not specific in detecting a serotype of Leptospira because of cross-reactivity between the serovars. In the convalescent phase, MAT is more specific in detecting the serovar types.[13] MAT requires a panel of live antigens and requires laborious work.[15]
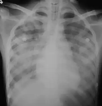
Imaging
In those who have lung involvement, a chest X-ray may demonstrate diffuse alveolar opacities.[13]
Diagnostic criteria
In 1982, the World Health Organisation (WHO) proposed the Faine's criteria for the diagnosis of leptospirosis. It consists of three parts: A (clinical findings); B (epidemiological factors); and C (lab findings and bacteriological data). Since the original Faine's criteria only included culture and MAT in part C, which is difficult and complex to perform, the modified Faine's criteria were proposed in 2004 to include ELISA and slide agglutination tests which are easier to perform. In 2012, modified Faine's criteria (with amendment) was proposed to include shortness of breath and coughing up blood in the diagnosis. In 2013, India recommended modified Faine's criteria in the diagnosis of leptospirosis.[29]
| Modified Faine's criteria (with amendment) 2012 | |||||||
| Part A: Clinical data | Score | Part B: Epidemiological factors | Score | Part C: Bacteriological and laboratory Findings | Score | ||
|---|---|---|---|---|---|---|---|
| Headache | 2 | Rainfall | 5 | Isolation of leptospira in culture | Diagnosis certain | ||
| Fever | 2 | Contact with contaminated environment | 4 | Polymerase chain reaction | 25 | ||
| Fever >39 °C | 2 | Animal contact | 1 | ELISA IgM positive | 15 | ||
| Conjunctival suffusion | 4 | Slide agglutination test positive | 15 | ||||
| Meningism | 4 | Other rapid tests | 15 | ||||
| Myalgia | 4 | MAT – single positive in high titer | 15 | ||||
| Conjuctival suffusion + Meningism + Myalgia | 10 | MAT – Rising titer / seroconversion (paired sera) | 25 | ||||
| Jaundice | 1 | ||||||
| Albuminuria / Nitrogen retention | 2 | ||||||
| Haemoptysis/ dyspnoea | 2 | ||||||
A presumptive diagnosis of leptospirosis is made when:[29]
- Part A or Part A & Part B score: 26 or more
- Part A, B, C (Total): 25 or more
- A score between 20 to 25 suggests leptospirosis as a possible diagnosis.
Others
Leptospiral DNA can be amplified by using polymerase chain reaction (PCR) from serum, urine, aqueous humour, CSF, and autopsy specimens.[13] It detects the presence of bacteria faster than MAT during the first few days of infection without waiting for the appearance of antibodies.[15] As PCR detects the presence of leptospiral DNA in the blood it is useful even when the bacteria is killed by antibiotics.[1] Although PCR can detect cases early when compared with culture, it cannot detect the specific serotype of Leptospira, thus affecting its value in epidemiological studies.[13][5] Therefore, MAT is used more frequently than PCR in detecting Leptospira infection.[13]
Leptospira is a slow-growing bacterium. Blood samples containing it can be cultured in Ellinghausen-McCullough-Johnson-Harris medium (EMJH), Stuart’s, Korthoff’s, and Fletcher's media.[5] However, the most commonly used medium used is EMJH. It is incubated at 28 °C (82 °F) to 30 °C (86 °F) in a dark environment for six to 13 weeks. The culture is then examined periodically under a dark-field microscope.[2] Other samples that can be cultured are CSF and peritoneal washings during the first week of infection and urine samples from the second week of infection. However, since the survival of Leptospira is limited in urine, a phosphate-buffered saline is used to enhance the bacteria growth in urine culture. Since contamination is prevalent in urine cultures, antibiotics like fluorouracil are used to inhibit the growth of other bacteria in culture.[13] Using the culture one is able to identify the specific strain of Leptospira, which is useful in epidemiological studies.[2]
Molecular typing such as pulsed-field gel electrophoresis, multilocus sequence typing, multiple loci VNTR analysis can identify Leptospira to species level by analyzing 16S ribosomal RNA gene of isolates.[15]
Prevention
Cerevisae, CC-BY-SA
Evi Susanti Sinaga (CDC), Public Domain
Rates of leptospirosis can be reduced by improving housing, infrastructure, and sanitation standards. Prevention can also be helped by rodent abatement efforts and flood mitigation projects. Proper use of personal protective equipment (PPE) by people who have a high risk of occupational exposure can prevent leptospirosis infections in most cases.[13]
There is no human vaccine suitable for worldwide use.[6] Only a few countries such as Cuba, Japan, France, and China have approved the use of inactivated vaccines with limited protective effects.[6][30] Side effects such as nausea, injection site redness and swelling have been reported after the vaccine was injected. Since the immunity induced by one Leptospiraserovar is only protective against that specific one, trivalent vaccines have been developed.[13] However, they do not confer long-lasting immunity to humans or animals.[4] Vaccines for other animals are more widely available.[7]
Doxycycline has been provided once a week as a prophylaxis and is effective in reducing the rate of leptospirosis infections amongst high-risk individuals in flood-prone areas.[31] In one study, doxycycline was found to be effective in reducing the number of leptospirosis cases in military personnel undergoing exercises in the jungles. In another study, doxycycline administered after exposure to antibiotics was found reduce the number of people with symptomatic disease after a heavy rainfall in endemic areas.[13]
Treatment
Most leptospiral cases resolve spontaneously. Early initiation of antibiotics may prevent the progression to severe disease. Therefore, in resource-limited settings, antibiotics can be started once leptospirosis is suspected after history taking and examination.[13]
For mild leptospirosis, antibiotic recommendations such as doxycycline, azithromycin, ampillicin and amoxicillin were based solely on in vitro testing.[1] In 2001, the WHO recommended oral doxycycline (2 mg/kg up to 100 mg every 12 hours) for5 to 7 days for those with mild leptospirosis. Tetracycline, ampicillin, and amoxicillin can also be used in such cases.[32] However, in areas where rickettsia and leptospirosis are both endemic, either azithromycin or doxycycline are the drugs of choice.[1]
Based on a 1988 study, intravenous (IV) benzylpenicillin (also known as penicillin G) is recommended for the treatment of severe leptospirosis.[1] Intravenous benzylpenicillin (30 mg/kg up to 1.2 g every six hours) is used for five to seven days. Amoxicillin, ampicillin, and erythromycin may also be used for severe cases.[32] Ceftriaxone (1 g IV every 24 hours for seven days) and penicillin G (1.5 million units IV every six hours for seven days) have been shown to have similar efficacy in treating severe leptospirosis.[13][1][33] In another study on severe leptospirosis conducted in 2004, both cefotaxime (1 g IV every six hours for seven days) and doxycycline (200 mg initially followed by 100 mg IV every 12 hours for seven days) showed similar efficacy when compared with penicillin G (1.5 million units IV every six hours for seven days).[1][34] Therefore, there is no evidence on death reduction when comparing the usage of intravenous benzylpenicillin with ceftriaxone or cefotaxime.[1] Another study conducted in 2007 also showed no difference in efficacy between doxycycline (200 mg initially followed by 100 mg orally every 12 hours for seven days) or azithromycin (2 g on day one followed by 1 g daily for two more days) for suspected leptospirosis. There was no difference in the resolution of fever and azithromycin is better tolerated than doxycycline.[35][36][37]
Those who can be treated as outpatients should receive doxycycline or azithromycin. Doxycycline can shorten the duration of leptospirosis by two days, improve symptoms, and prevent the shedding of organisms in their urine. Azithromycin and amoxicillin are given to pregnant women and children.[13] Rarely, a Jarisch–Herxheimer reaction can develop in the first few hours after antibiotic administration.[1] However, according to a meta-analysis done in 2012, the benefit of antibiotics in the treatment of leptospirosis was unclear although the use of antibiotics may reduce the duration of illness by two to four days.[1][36] Another meta-analysis done in 2013 reached a similar conclusion.[1][37]
For those with severe leptospirosis, including potassium wasting with high kidney output dysfunction, intravenous hydration and potassium supplements can prevent dehydration and hypokalemia. When acute kidney failure occurs, early initiation of haemodialysis or peritoneal dialysis can help to improve survival. For those with respiratory failure, tracheal intubation with low tidal volume improves survival rates.[13]
Corticosteroids have been proposed to suppress inflammation in leptospirosis because Leptospira infection can induce the release of chemical signals which promote inflammation of blood vessels in the lungs. However, there is insufficient evidence to determine whether the use of corticosteroids is beneficial.[1][38]
Prognosis
The overall risk of death for leptospirosis is 5 to 10%.[8] For those with jaundice, the case fatality can increase up to 15%.[18] For those infected who present with confusion and neurological signs, there is a high risk of death. Other factors that increase the risk of death include reduced urine output, age more than 36 years, and respiratory failure. With proper care, most of those infected will recover completely. Those with acute kidney failure may suffer persistent mild kidney impairment post-recovery.[13] In those with severe lung involvement, the risk of death is 50 to 70%.[1] Thirty percent of affected people may suffer chronic leptospirosis syndrome for up to two years which is characterised by weakness, muscle pain, and headaches.[13]
Eye complications
Eye problems can occur in 10% of those who recovered from leptospirosis[18] in the range from two weeks to a few years post-infection. Most commonly, eye complications can occur at six months after the infection. This is due to the immune privilege of the eye which protects it from immunological damage during the initial phase of leptospiral infection.[39] These complications can range from mild anterior uveitis to severe panuveitis (which involves all three vascular layers of the eye).[18] The uveitis is more commonly happen in young to a middle-aged man and those working in agricultural farming.[39] In up to 80% of those infected, Leptospira DNA can be found in the aqueous humour of the eye.[13] Eye problems usually have a good prognosis following treatment or they are self-limiting.[18] In anterior uveitis, only topical steroids and mydriatics (an agent that causes dilation of the pupil) are needed while in panuveitis, it requires periocular corticosteroids.[39]. Leptospiral uveitis is characterised by hypopyon, rapidly maturing cataract, free floating vitreous membranes, disc hyperemia and retinal vasculitis.[39][40][41]
Epidemiology
Paul R. Torgerson, CC-BY
It is estimated that one million cases of leptospirosis occur annually, with 58,900 deaths.[9] Leptospirosis is found in both urban and rural areas in tropical, subtropical, and temperate regions.[8] The global health burden for leptospirosis can be measured by disability-adjusted life year (DALY). The score is 42 per 100,000 people per year, which is more than other diseases such as rabies and filariasis.[5]
The disease is observed persistently in parts of Asia, Oceania, the Caribbean, Latin America and Africa.[18] Antarctica is the only place not affected by leptospirosis.[18] In the United States, there were 100 to 150 leptospirosis cases annually.[42] In 1994, leptospirosis ceased to be a notifiable disease in the United States except in 36 states/territories where it is prevalent such as Hawaii, Texas, California, and Puerto Rico.[43] Approximately 50% of the reported cases occurred in Puerto Rico. In January 2013, leptosprirosis was reinstated as a nationally notifiable disease in the United States.[42]
The global rates of leptospirosis have been underestimated because most affected countries lack notification or notification is not mandatory.[13] Distinguishing clinical signs of leptospirosis from other diseases and lack of laboratory diagnostic services are other problems.[44] The socioeconomic status of many of the world's population is closely tied to malnutrition; subsequent lack of micronutrients may lead to increased risk of infection and death due to leptospirosis infection.[45] Micronutrients such as iron, calcium, and magnesium represent important areas for future research.[45]
History
The disease was first described by Adolf Weil in 1886 when he reported an "acute infectious disease with enlargement of spleen, jaundice, and nephritis."[11] Before Weil's description, the disease was known as "rice field jaundice" in ancient Chinese text, "autumn fever", "seven-day fever",[46] and "nanukayami fever"[47] in Japan; in Europe and Australia, the disease was associated with certain occupations and given names such as "cane-cutter's disease", "swine-herd's disease", and "Schlammfieber" (mud fever).[46] It has been known historically as "black jaundice",[48] or "dairy farm fever" in New Zealand.[49] Leptospirosis was postulated as the cause of an epidemic among Native Americans along the coast of what is now New England during 1616–19. The disease was most likely brought to the New World by Europeans.[50]
Leptospira was first observed in 1907 in a post mortem kidney tissue slice by Arthur Stimson using silver deposition staining technique. He called the organism Spirocheta interrogans because the bacteria resembled a question mark.[46][51] In 1908, a Japanese research group led by Ryokichi Inada and Yutaka Ito first identified this bacterium as the causative agent of leptospirosis[52] and noted its presence in rats in 1916.[53] Japanese coal mine workers frequently contracted leptospirosis. In Japan, the organism was named Spirocheta icterohaemorrhagiae. The Japanese group also experimented with the first leptospiral immunisation studies in guinea pigs. They demonstrated that by injecting the infected guinea pigs with sera from convalescent humans or goats, passive immunity could be provided to the guinea pigs. In 1917, the Japanese group discovered rats as the carriers of leptospirosis. Unaware of the Japanese group's work, two German groups independently and almost simultaneously published their first demonstration of transmitting leptospiral infection in guinea pigs in October 1915. They named the organism Spirochaeta nodosa and Spirochaeta Icterogenes respectively.[46]
Leptospirosis was subsequently recognised as a disease of all mammalian species. In 1933, Dutch workers reported the isolation of Leptospira canicola which specifically infects dogs. In 1940, the strain that specifically infects cattle was first reported in Russia.[46] In 1942, soldiers at Fort Bragg, North Carolina, were recorded to have an infectious disease which caused a rash over their shinbones. This disease was later known to be caused by leptospirosis.[13] By the 1950s, the number of serovars that infected various mammals had expanded significantly. In the 1980s, leptospirosis was recognised as a veterinary disease of major economic importance.[46]
In 1982, there were about 200 serovars of Leptospira available for classification. The International Committee on Systematic Bacteriology's subcommittee on taxonomy of Leptospira proposed classifying these serovars into two big groups: L. interrogans containing pathogenic serovars and L. biflexa containing saprohytic serovars. In 1979, the leptospiral family of Leptospiraceae was proposed. In the same year, Leptospira illini was reclassified as the new genus Leptonema. In 2002, 'Lepthangamushi syndrome' was coined to describe a series of overlapping symptoms of leptospirosis with hantavirus hemorrhagic fever with renal syndrome, and scrub typhus caused by Orientia tsutsugamushi.[54][55] In 2005, Leptospira parva was classified as Turneriella. With DNA-DNA hybridisation technology, L. interrogans was divided into seven species. More Leptospira species have been discovered since then.[46] The WHO established the Leptospirosis Burden Epidemiology Reference Group (LERG) to review the latest disease epidemiological data of leptospirosis, formulate a disease transmission model, and identify gaps in knowledge and research. The first meeting was convened in 2009. In 2011, LERG estimated that the global yearly rate of leptospirosis is five to 14 cases per 100,000 population.[13]
Other animals
CDC, Public Domain
CDC, Public Domain
Animals also present with similar clinical features when compared to humans. Clinical signs can appear in 5 to15 days in dogs. The incubation period can be prolonged in cats. Leptospirosis can cause abortions after 2 to12 weeks in cattle, and 1 to 4 weeks of infection in pigs. The illness tends to be milder in reservoir hosts. The most commonly affected organs are the kidneys, liver, and reproductive system, but other organs can be affected.[18] In dogs, the acute clinical signs include fever, loss of appetite, shivering, muscle pain, weakness, and urinary symptoms. Vomiting, diarrhea, and abdominal pain may also present. Petechiae and ecchymoses may be seen on mucous membranes. Bleeding from the lungs may also be seen in dogs. In chronic presentations, the affected dog may have no symptoms. In animals that have died of leptospirosis, their kidneys may be swollen with grey and white spots, mottling, or scarring. Their liver may be enlarged with areas of cell death. Petechiae and ecchymoses may be found in various organs.[18][56] Inflammation of the blood vessels, inflammation of the heart, meningeal layers covering the brain and spinal cord, and uveitis are also possible.[7] Horses are well known to develop severe uveitis of the eye.[39] Risk of death or disability in animals varies depending upon the species and age of the animals. In adult pigs and cattle, reproductive signs are the most common signs of leptospirosis. Up to 40% of cows may have a spontaneous abortion. Younger animals usually develop more severe disease. About 80% of dogs can survive with treatment, but the survival rate is reduced if the lungs are involved.[18]
ELISA and microscopic agglutination tests are most commonly used to diagnose leptospirosis in animals. The bacteria can be detected in blood, urine, and milk or liver, kidney, or other tissue samples by using immunofluorescence or immunohistochemical or polymerase chain reaction techniques. The organisms stain poorly with gram stain, therefore, silver staining or immunogold silver staining are used. Dark-field microscopy can be used, but it is neither sensitive nor specific in detecting the organism. A positive culture for leptospirosis is definitive, but the availability is limited, and culture results can take 13–26 weeks for a result, limiting its utility. Paired acute and convalescent samples are preferred for serological diagnosis of leptospirosis in animals. A positive serological sample from an aborted fetus is also diagnostic of leptospirosis.[18]
Various antibiotics such as doxycycline, penicillins, dihydrostreptomycin, and streptomycin have been used to treat leptospirosis in animals. Fluid therapy, blood transfusion, and respiratory support may be required in severe disease. For horses, the primary treatment is with anti-inflammatory drugs.[7][18]
Leptospirosis vaccines are available for animals such as pigs, dogs, cattle, sheep, and goats. Vaccines for cattle usually contain Leptospira serovar Hardjo and Pomona, for dogs, the vaccines usually contain serovar Icterohaemorrhagiae and Canicola. Isolation of infected animals and prophylactic antibiotics are also effective in preventing leptospirosis transmission between animals. Environmental control and sanitation also reduce transmission rates.[7][18]
Additional information
Acknowledgements
All those who had contributed to the article.
Conflict of interest
No funding was received for the preparation of this article. No financial competing interests declared.
Ethics statement
No ethics issues exist that the author(s) are aware of.
References
- ↑ 1.00 1.01 1.02 1.03 1.04 1.05 1.06 1.07 1.08 1.09 1.10 1.11 1.12 1.13 1.14 1.15 1.16 1.17 1.18 1.19 1.20 1.21 1.22 1.23 1.24 1.25 1.26 Lane AB; Dore MM (25 November 2016). "Leptospirosis: A clinical review of evidence based diagnosis, treatment and prevention". World Journal of Clinical Infectious Diseases 6 (4): 61–6. doi:10.5495/wjcid.v6.i4.61.
- ↑ 2.00 2.01 2.02 2.03 2.04 2.05 2.06 2.07 2.08 2.09 Pheng Soo ZM; Khan NA; Siddiqui R (January 2020). "Leptospirosis: Increasing importance in developing countries". Acta Tropica 201: 2–9. doi:10.1016/j.actatropica.2019.105183. PMID 31542372.
- ↑ McBride AJA; Athanazio DA; Reis MG; Ko AI (October 2005). "Leptospirosis". Current Opinion in Infectious Diseases 18 (5): 376–86. doi:10.1097/01.qco.0000178824.05715.2c. PMID 16148523.
- ↑ 4.00 4.01 4.02 4.03 4.04 4.05 4.06 4.07 4.08 4.09 4.10 Picardeau M (May 2017). "Virulence of the zoonotic agent of leptospirosis: still terra incognita?". Nature Reviews Microbiology 15 (5): 297–307. doi:10.1038/nrmicro.2017.5. PMID 28260786.
- ↑ 5.00 5.01 5.02 5.03 5.04 5.05 5.06 5.07 5.08 5.09 5.10 5.11 5.12 5.13 5.14 5.15 5.16 5.17 5.18 5.19 5.20 Karpagam KB; Ganesh B (2020). "Leptospirosis: a neglected tropical zoonotic infection of public health importance—an updated review". European Journal of Clinical Microbiology & Infectious Diseases 39 (5): 835–46. doi:10.1007/s10096-019-03797-4. PMID 31898795.
- ↑ 6.0 6.1 6.2 Teixeira AF; Fernandes LG; Cavenague MF et al (2019). "Adjuvanted leptospiral vaccines: Challenges and future development of new leptospirosis vaccines". Vaccine 37 (30): 3961–73. doi:10.1016/j.vaccine.2019.05.087. PMID 31186193.
- ↑ 7.0 7.1 7.2 7.3 7.4 7.5 7.6 7.7 7.8 Ellis WA (2015). "Animal Leptospirosis". In Adler B. Leptospira and Leptospirosis. Current Topics in Microbiology and Immunology. 387. Springer. pp. 99–137. doi:10.1007/978-3-662-45059-8_6. ISBN 978-3-662-45058-1.
- ↑ 8.0 8.1 8.2 Evangelista KV; Coburn J (September 2010). "Leptospira as an emerging pathogen: a review of its biology, pathogenesis and host immune responses". Future Microbiology 5 (9): 1413–25. doi:10.2217/fmb.10.102. PMID 20860485. PMC 3037011. //www.ncbi.nlm.nih.gov/pmc/articles/PMC3037011/.
- ↑ 9.0 9.1 Costa F; Hagan JE; Calcagno J et al (2015). "Global Morbidity and Mortality of Leptospirosis: A Systematic Review". PLoS Neglected Tropical Diseases 9 (9): e0003898. doi:10.1371/journal.pntd.0003898. PMID 26379143. PMC 4574773. //www.ncbi.nlm.nih.gov/pmc/articles/PMC4574773/.
- ↑ Slack A (July 2010). "Leptospirosis". Australian Family Physician 39 (7): 495–8. PMID 20628664.
- ↑ 11.0 11.1 Weil A (1886). "Über eine eigenthümliche, mit Milztumor, Icterus und Nephritis einhergehende, acute Infektionskrankheit (About a peculiar acute infectious disease associated with splenic tumor, icterus, and nephritis)". Deutsches Archiv für Klinische Medizin 39: 209–32. https://babel.hathitrust.org/cgi/pt?id=uiug.30112112319931;view=1up;seq=221.
- ↑ 12.0 12.1 "Leptospirosis" (PDF). The Center for Food Security and Public Health. October 2013. Archived (PDF) from the original on 24 November 2014. Retrieved 8 November 2014.
- ↑ 13.00 13.01 13.02 13.03 13.04 13.05 13.06 13.07 13.08 13.09 13.10 13.11 13.12 13.13 13.14 13.15 13.16 13.17 13.18 13.19 13.20 13.21 13.22 13.23 13.24 13.25 13.26 13.27 13.28 13.29 13.30 13.31 13.32 13.33 13.34 13.35 Haake DA; Levett PN (25 May 2015). "Leptospirosis in humans". In Adler B. Leptospira and Leptospirosis. Current Topics in Microbiology and Immunology. 387. Springer. pp. 65–97. doi:10.1007/978-3-662-45059-8_5. ISBN 978-3-662-45058-1. PMID 25388133. PMC 4442676. //www.ncbi.nlm.nih.gov/pmc/articles/PMC4442676/.
- ↑ 14.0 14.1 Cagliero J; Villanueva SYAM; Matsui M (20 June 2018). "Leptospirosis Pathophysiology: Into the Storm of Cytokines". Frontiers in Cellular and Infection Microbiology 8 (204): 1–8. doi:10.3389/fcimb.2018.00204. PMID 29974037.
- ↑ 15.0 15.1 15.2 15.3 15.4 Bennett JE; Dolin R; Blaser MJ (2015). "223". Mandell, Douglas, and Bennett's Principles and Practice of Infectious Diseases (Eighth ed.). Elsevier. pp. 2541–9. ISBN 978-1-4557-4801-3.
- ↑ Cameron CE (2015). "Leptospiral structure, physiology, and metabolism". In Adler B. Leptospira and Leptospirosis. Current Topics in Microbiology and Immunology. 387. Springer. pp. 21–41. doi:10.1007/978-3-662-45059-8_3. ISBN 978-3-662-45058-1. PMID 25388131.
- ↑ 17.0 17.1 Caimi K; Ruybal P (February 2020). "Leptospira spp., a genus in the stage of diversity and genomic data expansion". Infection, Genetics, and Evolution 81: 104241. doi:10.1016/j.meegid.2020.104241. PMID 32061688.
- ↑ 18.00 18.01 18.02 18.03 18.04 18.05 18.06 18.07 18.08 18.09 18.10 18.11 18.12 18.13 Spickler AR; Larson KL (October 2013). "Leptospirosis (Fact sheet)" (PDF). The Center for Food Security and Public Health. Archived (PDF) from the original on 24 November 2014. Retrieved 15 March 2019.
- ↑ Barragan V; Olivas S; Keim P; Pearson T (October 2017). "Critical Knowledge Gaps in Our Understanding of Environmental Cycling and Transmission of Leptospira spp". Applied and Environmental Microbiology 83 (19). doi:10.1128/AEM.01190-17. PMID 28754706. PMC 5601346. //www.ncbi.nlm.nih.gov/pmc/articles/PMC5601346/.
- ↑ Allan KJ; Biggs HM; Halliday JEB et al (2015). "Epidemiology of Leptospirosis in Africa: A Systematic Review of a Neglected Zoonosis and a Paradigm for 'One Health' in Africa". PLoS Neglected Tropical Diseases 9 (9): e0003899. doi:10.1371/journal.pntd.0003899. PMID 26368568. PMC 4569256. //www.ncbi.nlm.nih.gov/pmc/articles/PMC4569256/.
- ↑ Rodriguez-Morales AJ; Castañeda-Hernández DM (2014). "Spirochetes: Leptospira". Encyclopedia of Food Safety 2: 189-193. doi:10.1016/B978-0-12-378612-8.00131-1.
- ↑ 22.0 22.1 22.2 22.3 22.4 Kin Chin V; Basir R; Nordin SA et al (May 2020). "Pathology and Host Immune Evasion During Human Leptospirosis: a Review". International Microbiology 23 (2): 127–36. doi:10.1007/s10123-019-00067-3. PMID 30875033.
- ↑ Song ATW; Abas L; Andrade LC et al (February 2016). "A first report of leptospirosis after liver transplantation". Transplant Infectious Disease 18 (1): 137–40. doi:10.1111/tid.12490. PMID 26671230.
- ↑ Puliyath G; Singh S (October 2012). "Leptospirosis in pregnancy". European Journal of Clinical Microbiology & Infectious Diseases 31 (10): 2491–6. doi:10.1007/s10096-012-1625-7. PMID 22549729.
- ↑ Carles G; Montoya E; Joly F; Peneau C (1995). "[Leptospirosis and pregnancy. Eleven cases in French Guyana]". Journal de Gynecologie, Obstetrique et Biologie de la Reproduction 24 (4): 418–21. PMID 7650320.
- ↑ Koe SL; Tan KT; Tan TC (February 2014). "Leptospirosis in pregnancy with pathological fetal cardiotocography changes". Singapore Medical Journal 55 (2): e20–4. doi:10.11622/smedj.2013194. PMID 24712035. PMC 4291937. //www.ncbi.nlm.nih.gov/pmc/articles/PMC4291937/.
- ↑ Shaked Y; Shpilberg O; Samra D; Samra Y (August 1993). "Leptospirosis in pregnancy and its effect on the fetus: case report and review". Clinical Infectious Diseases 17 (2): 241–3. doi:10.1093/clinids/17.2.241. PMID 8399874.
- ↑ Devaux CA; Mezouar S; Mege JL (26 September 2018). "The E-Cadherin Cleavage Associated to Pathogenic Bacteria Infections Can Favor Bacterial Invasion and Transmigration, Dysregulation of the Immune Response and Cancer Induction in Humans". Frontiers in Microbiology 10 (2598). doi:10.3389/fmicb.2019.02598. PMID 31781079. PMC 6857109. //www.ncbi.nlm.nih.gov/pmc/articles/PMC6857109/.
- ↑ 29.0 29.1 Kumar SS (2013). "7". Indian Guidelines for the Diagnosis and Management of Human Leptospirosis. India. pp. 23–9. http://www.apiindia.org/medicine_update_2013/chap07.pdf. Retrieved 16 November 2019.
- ↑ Xu Y; Ye Q (2018). "Human leptospirosis vaccines in China". Human Vaccines and Immunotherapeutics 14 (4): 984–93. doi:10.1080/21645515.2017.1405884. PMID 29148958. PMC 5893195. //www.ncbi.nlm.nih.gov/pmc/articles/PMC5893195/.
- ↑ Abd Rahim MA; Zaki AM; Atil A et al. "Effectiveness of Antibiotic Prophylaxis for Leptospirosis among Adults: A Systematic Review". Malaysian Journal of Applied Sciences 3 (2): 46–56. https://journal.unisza.edu.my/myjas/index.php/myjas/article/view/144. Retrieved 1 March 2020.
- ↑ 32.0 32.1 WHO recommended strategies for the prevention and control of communicable diseases. World Health Organization – Department of Communicable Disease Control, Prevention and Eradication. 2001. p. 104. https://apps.who.int/iris/bitstream/handle/10665/67088/WHO_CDS_CPE_SMT_2001.13.pdf;jsessionid=8D354664DCE5C486C49F55D4C3F64378?sequence=1.
- ↑ Panaphut T; Domrongkitchaiporn S; Vibhagool A et al (June 2003). "Ceftriaxone compared with sodium penicillin g for treatment of severe leptospirosis". Clinical Infectious Diseases 36 (12): 1507–13. doi:10.1086/375226. PMID 12802748.
- ↑ Suputtamongkol Y; Niwattayakul K; Suttinont C et al (November 2004). "An open, randomized, controlled trial of penicillin, doxycycline, and cefotaxime for patients with severe leptospirosis". Clinical Infectious Diseases 39 (10): 1417–24. doi:10.1086/425001. PMID 15546074.
- ↑ Phimda K; Hoontrakul S; Suttinont C et al (September 2007). "Doxycycline versus azithromycin for treatment of leptospirosis and scrub typhus". Antimicrobial Agents and Chemotherapy 51 (9): 3259–63. doi:10.1128/AAC.00508-07. PMID 17638700. PMC 2043199. //www.ncbi.nlm.nih.gov/pmc/articles/PMC2043199/.
- ↑ 36.0 36.1 Brett-Major DM; Coldren R (February 2012). "Antibiotics for leptospirosis". Cochrane Library (2): CD008264. doi:10.1002/14651858.CD008264.pub2. PMID 22336839.
- ↑ 37.0 37.1 Charan J; Saxena D; Mulla S et al (May 2013). "Antibiotics for the treatment of leptospirosis: systematic review and meta-analysis of controlled trials". International Journal of Preventive Medicine 4 (5): 501–10. PMID 23930159. PMC 3733179. //www.ncbi.nlm.nih.gov/pmc/articles/PMC3733179/.
- ↑ Rodrigo C; Lakshitha de Silva N et al; Goonaratne R (December 2014). "High dose corticosteroids in severe leptospirosis: a systematic review". Transactions of the Royal Society of Tropical Medicine and Hygiene 108 (12): 743–50. doi:10.1093/trstmh/tru148. PMID 25266477.
- ↑ 39.0 39.1 39.2 39.3 39.4 Verma A; Stevenson B (7 September 2012). "Leptospiral Uveitis – There Is More to It Than Meets the Eye!". Zoonoses and Public Health 59 (s2): 132–41. doi:10.1111/j.1863-2378.2011.01445.x. PMID 22958257.
- ↑ Sivakumar R; Balakrishnan V; Gowri P et al (2018). "Leptospiral Uveitis: Usefulness of Clinical Signs as Diagnostic Predictors". Ocular Immunology and Inflammation 26 (4): 569–76. doi:10.1080/09273948.2016.1217341. PMID 27598430.
- ↑ Rathinam SR; Rathakrishnan S (September 2020). "Rapid maturation of unilateral cataract in leptospirosis". Indian Journal of Ophthalmology 68 (9): 1977–79. doi:10.4103/ijo.IJO_535_20. PMID 32823447.
- ↑ 42.0 42.1 "Healthcare Workers – Technical Information for Leptospirosis". Centers for Disease Control and Prevention (CDC). 9 November 2017. Archived from the original on 11 January 2019. Retrieved 28 April 2019.
- ↑ Guerra MA (September 2013). "Leptospirosis: public health perspectives". Biologicals 41 (5): 295–7. doi:10.1016/j.biologicals.2013.06.010. PMID 23850378. PMC 4629849. //www.ncbi.nlm.nih.gov/pmc/articles/PMC4629849/.
- ↑ "WHO | Leptospirosis Burden Epidemiology Reference Group (LERG)". www.who.int. Archived from the original on 17 November 2017. Retrieved 30 November 2017.
- ↑ 45.0 45.1 Herman HS; Mehta S; Cárdenas WB et al (July 2016). "Micronutrients and Leptospirosis: A Review of the Current Evidence". PLoS Neglected Tropical Diseases 10 (7): e0004652. doi:10.1371/journal.pntd.0004652. PMID 27387046. PMC 4936698. //www.ncbi.nlm.nih.gov/pmc/articles/PMC4936698/.
- ↑ 46.0 46.1 46.2 46.3 46.4 46.5 46.6 Adler B (2015). "History of leptospirosis and leptospira". In Adler B. Leptospira and Leptospirosis. Current Topics in Microbiology and Immunology. 387. Springer. pp. 1–9. doi:10.1007/978-3-662-45059-8_1. ISBN 978-3-662-45058-1. PMID 25388129.
- ↑ Dorland's illustrated medical dictionary. Philadelphia: Elsevier/Saunders. 2012. p. 1231. ISBN 9781455709854. https://books.google.com/books?id=mNACisYwbZoC&pg=PA1231. Retrieved 21 February 2016.
- ↑ Clapham D (2004). Small Water Supplies: A Practical Guide. Routledge. p. 125. doi:10.4324/9780203496695. ISBN 9781134457496. https://books.google.com/books?id=N1uBAgAAQBAJ&pg=PA125. Retrieved 21 February 2016.
- ↑ Christmas BW; Tennent RB; Lindsay PG (May 1974). "Dairy farm fever in New Zealand: a local outbreak of human leptospirosis". The New Zealand Medical Journal 79 (514): 901–4. PMID 4527727.
- ↑ Marr JS; Cathey JT (February 2010). "New hypothesis for cause of epidemic among native Americans, New England, 1616-1619". Emerging Infectious Diseases 16 (2): 281–6. doi:10.3201/eid1602.090276. PMID 20113559. PMC 2957993. //www.ncbi.nlm.nih.gov/pmc/articles/PMC2957993/.
- ↑ Stimson AM (1907). "Note on an organism found in yellow-fever tissue". Public Health Reports 22 (18): 541. doi:10.2307/4559008. https://babel.hathitrust.org/cgi/pt?id=umn.31951002763205f;view=1up;seq=551.
- ↑ Inada R; Ito Y (1908). "A report of the discovery of the causal organism (a new species of spirocheta) of Weil's disease". Tokyo Ijishinshi 1915: 351–60.
- ↑ Inada R; Ido Y; Hoki R et al (March 1916). "The Etiology, Mode of Infection, and Specific Therapy of Weil's Disease (Spirochætosis Icterohæmorrhagica)". The Journal of Experimental Medicine 23 (3): 377–402. doi:10.1084/jem.23.3.377. PMID 19867994. PMC 2125418. //www.ncbi.nlm.nih.gov/pmc/articles/PMC2125418/.
- ↑ Paniz-Mondolfi AE; Rodriguez-Morales AJ; Blohm G et al (July 2016). "ChikDenMaZika Syndrome: the challenge of diagnosing arboviral infections in the midst of concurrent epidemics". Annals of Clinical Microbiology and Antimicrobials 15 (1): 42. doi:10.1186/s12941-016-0157-x. PMID 27449770. PMC 4957883. //www.ncbi.nlm.nih.gov/pmc/articles/PMC4957883/.
- ↑ "284184004: Lepthangamushi syndrome (disorder)". Archived from the original on 18 November 2019. Retrieved 18 November 2019.
- ↑ Klopfleisch R; Kohn B; Plog S et al (December 2010). "An emerging pulmonary haemorrhagic syndrome in dogs: similar to the human leptospiral pulmonary haemorrhagic syndrome?". Veterinary Medicine International 2010: 928541. doi:10.4061/2010/928541. PMID 21274452. PMC 3025382. //www.ncbi.nlm.nih.gov/pmc/articles/PMC3025382/.
